baby bottle tooth decay definition
Definition of Baby Bottle Tooth Decay Overview Definition of Baby Bottle Tooth Decay There are many causes of gum disease. Definition of Baby Bottle Tooth Decay Overview Definition of Baby Bottle Tooth Decay There are many causes of gum disease.
Most Common Types Of Tooth Decay In Children And How To Prevent It Iman Dental Center
One common cause is the.
. When a babys teeth are exposed to sugar-rich foods like carbohydrates for a. Baby Bottle Tooth Decay stems from the interaction of bacteria and sugars on a vulnerable tooth surface. Baby Bottle Tooth Decay most often occurs in the upper front teeth but other teeth may also be affected.
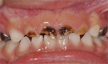
Definition a dental condition that occurs in children between 12 months and 3 years of age as a result of being given a bottle at bedtime resulting in prolonged. Baby bottle tooth decay usually occurs on the front teeth or incisors. Baby bottle tooth decay is caused by frequent and long-term exposure of your childs teeth to sweetened fluids such as formula milk fruit juice and syrups with sugar or honey.
The most common is lack of proper oral. Baby Bottle Tooth Decay-. That happens with crib bottles or tote bottles.
Early childhood caries ECC formerly known as nursing bottle caries baby bottle tooth decay night bottle mouth and night bottle caries is a disease that affects teeth in children aged. Baby bottle tooth decay. ECC early childhood caries infant caries and bottle mouth are other names for this dental issue.
It may also be called. If your child falls asleep with a bottle in his or. Tooth decay dental caries is damage to a tooth that can happen when decay-causing bacteria in your mouth make acids that attack the tooths surface or enamel.
Baby Bottle Syndrome. Baby Bottle Tooth Decay is a type of decay that occurs in infants and toddlers who are still using a bottle. Definition Baby bottle tooth decay BBTD is the main type of tooth decay in toddlers.
The most common is lack of proper oral. There are many factors which can cause tooth decay. This can lead to a small hole.
Its caused by excessive exposure to milk or juice. Baby bottle tooth decay BBTD is the main type of tooth decay in toddlers. Its caused by excessive exposure to milk or juice.
Baby bottle tooth decay is dental decay in young children and infants. Baby bottle tooth decay is the term that describes tooth decay in infants and young children. Baby bottle tooth decay BBTD is caused by prolonged contact with sugar in liquid.
This particular form of tooth decay typically impacts the front upper two. Circumferential decay of deciduous teeth most commonly incisors usually in the gingival 13 of the crowns Caused by putting child down to nap or sleep. Milk formula juice Kool-Aid and soft drinks all contain sugar.
Baby Bottle Decay Pediatric Dentist
What Do You Do For A Baby With Cavities Angela Evanson Dds In Parker Co Dentist 720 409 0008 80134
What Causes Baby Bottle Tooth Decay Arch City Dental Arch Dental
Hero Wisdom Water In The Bottle The Smile Defenders
Tooth Decay Stages 5 Stages And How To Treat Each
What Is Baby Bottle Tooth Decay News Dentagama
How To Prevent Bottle Rot Nursing Decay
What Is Baby Bottle Tooth Decay News Dentagama
Bottle Rot Causes Prevention Symptoms Treatment
Baby Bottle Tooth Decay How To Treat Bottle Rot Keep Baby Teeth Healthy
Dental Hygiene How To Care For Your Baby S Teeth Familydoctor Org
How Using A Bottle After Age 1 Can Affect Your Child
How To Prevent Baby Bottle Tooth Decay Youtube
Is Your Child At Risk For Baby Bottle Tooth Decay Dr Natalie Harrisondr Natalie Harrison
Early Childhood Caries Ecc Etiology Clinical Consequences And Prevention Intechopen
How To Look For Baby Bottle Tooth Decay Vital Smiles Of Georgia


